نمونه درمان
دکتر سید مسعود سید احدی، متخصص دندانپزشکی کودکان و نوجوانان با سالها تجربهی تخصصی در حوزه دندانپزشکی کودکان و نوجوانان، همواره تلاش نمودهاند تا با بهرهگیری از دانش روز، تجهیزات پیشرفته و روشهای درمانی نوین، سلامت دهان و دندان فرزندان شما را با کیفیتی بینظیر و در محیطی دوستداشتانه تأمین نمایند. ایشان با تخصص در ارتودنسی پیشگیری (تنظیم رشد فک و دندانها) و فلوشیپ دندانپزشکی تحت آرامبخشی و بیمارستانی، این اطمینان را به شما میدهند که درمان فرزندتان در کمال آرامش و ایمنی انجام خواهد شد.
در این صفحه، نمونههایی از کارهای موفق و پروژههای درمانی ایشان را مشاهده میکنید تا با آگاهی و اعتماد کامل، بهترین تصمیم را برای لبخند سالم و زیبای فرزند دلبندتان بگیرید.
سلامت دندانهای کودک شما، اولین قدم برای آیندهای درخشان است!
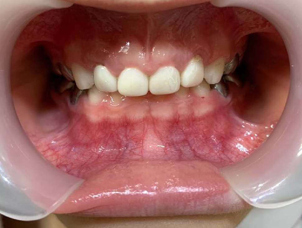
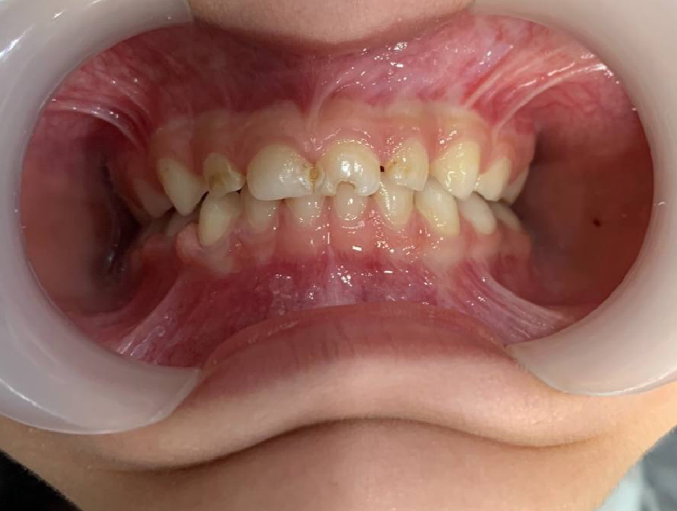
درمان عصب کشی و روکش زیرکونیا
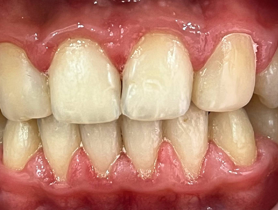
درمان عصب کشی و روکش زیرکونیا
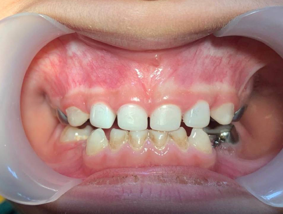
درمان عصب کشی و روکش زیرکونیا